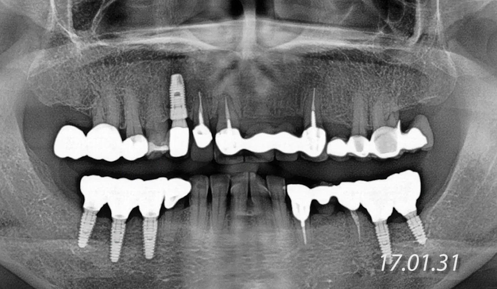
#11,#12,#23,#24 Root Membrane Technique with Digital R2GATE Surgery
#11,#12,#23,#24,Aesthetic zone,AnyRidge,Customized Abutment,Digital Guided Surgery,Guided surgery,Initial stability,Maxillary Anterior,Maxillary Posterior,MEGA ISQ,MiNi,PMMA crown,R2GATE,R2GATE Surgical Kit(AnyRidge),Root Membrane,Root Membrane Kit,video
English 2019-09-26 MP4 Clinical Video 1,839