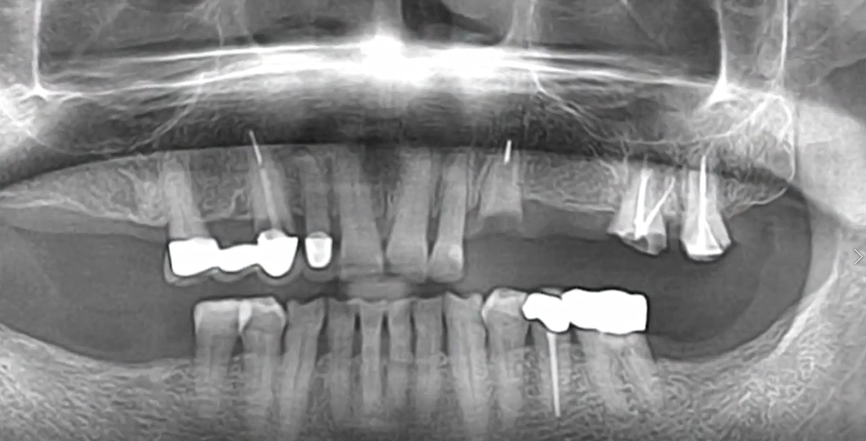
#11,#12,#23,#24 Root Membrane Technique with Digital R2GATE Surgery
Dr. Kwang Bum Park,Aesthetic zone,Digital Guided Surgery,Maxillary Anterior,Maxillary Posterior,#11,#12,#23,#24,Guided surgery,Root Membrane,AnyRidge,MiNi,R2GATE Guide,MEGA ISQ,Root Membrane Kit,R2GATE Surgical Kit(AnyRidge),Initial stability,Customized abutment,PMMA crown,Aesthetic…
English
2019-09-26
MP4
Videos & Animations
823