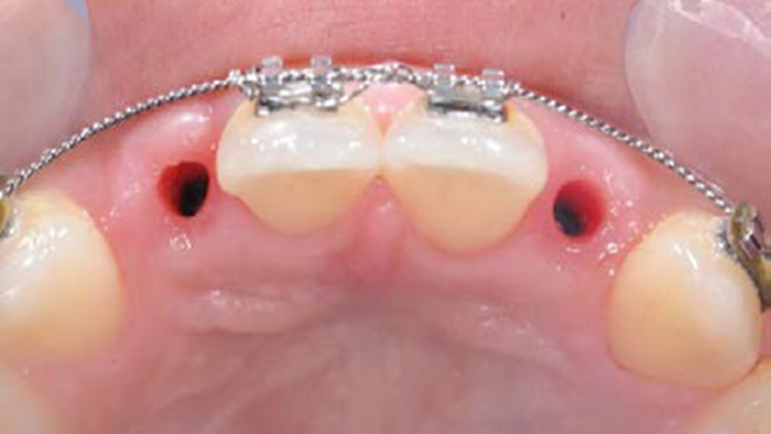
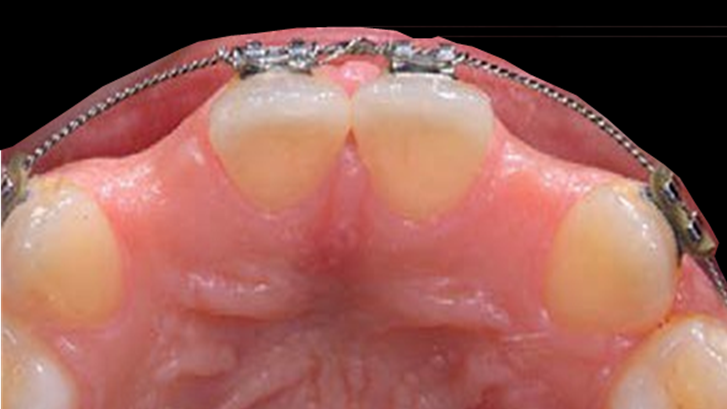
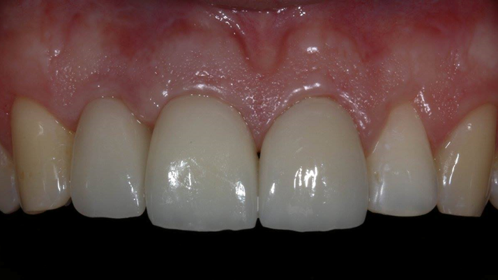
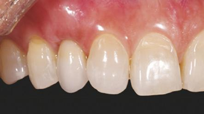
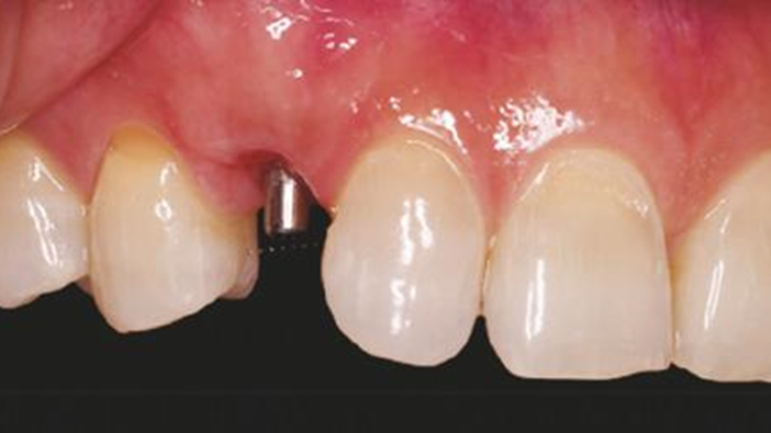
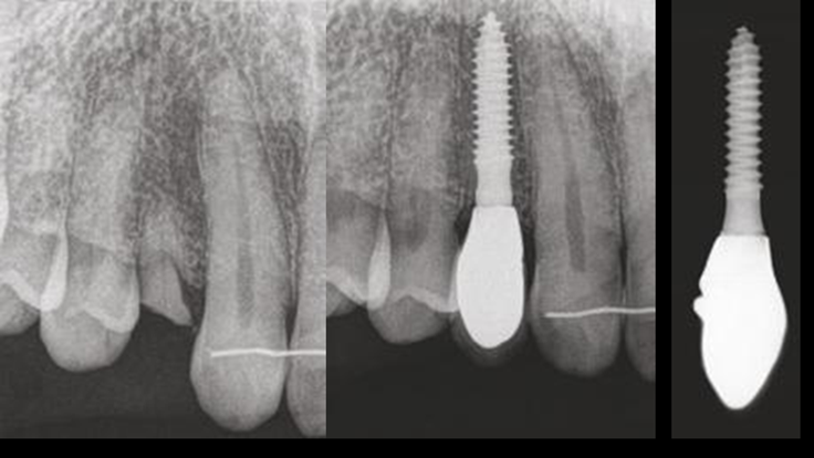
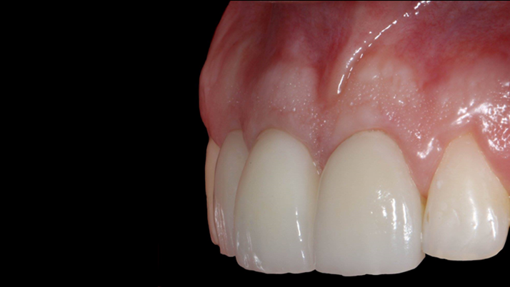
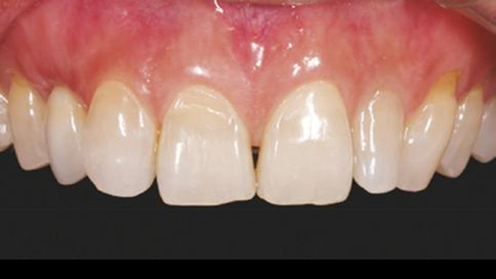
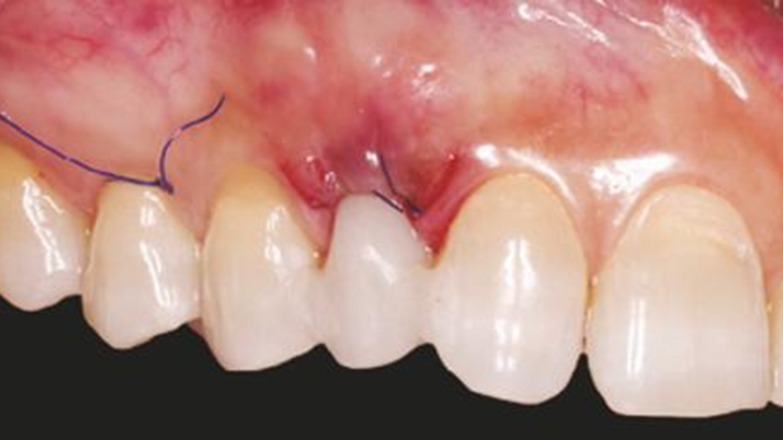
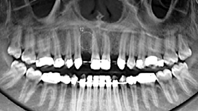
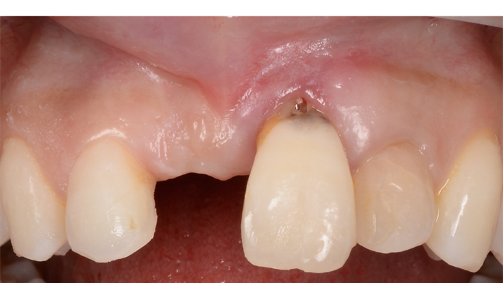
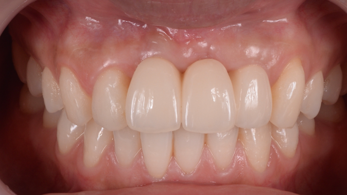
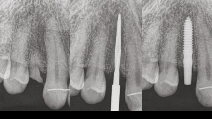
Clinical case: BPET PREDICTABILITY - State-of-the-Art SOCKET SHIELD
- Courtesy of Dr. Howard Gluckman, South Africa -
Keywords
Socket Shield Technique, anterior esthetics, maxillary anterior, esthetic, esthetics, AnyRidge, Root Membrane Kit, Root Membrane Technique, Partial Extraction Therapy, PET, esthetic zone , Dr. Howard Gluckman
Products:
AnyRidge implant system, Root membrane kit, PET Kit
Reference
The socket-shield technique to support the buccofacial tissues at immediate implant placement
INTERNATIONAL DENTISTRY – AFRICAN EDITION VOL. 5, NO. 3
Howard Gluckman, Jonathan Du Toit, Maurice Salama
A Step- by-Step Description of PDL-Mediated Ridge Preservation for Immediate
Implant Rehabilitation in the Esthetic Region
The International Journal of Periodontics & Restorative Dentistry VOL. 35, No.6
Miltiadis E. Mitsias, Konstantions D. Siormpas, Eleni Kontsiotou-Siormpas, Hari Prasad,
David Garber, Georgios A. Kotsakis
Advantages of the Root Submergence Technique for Pontic Site Development in Esthetic Implant Therapy
The International Journal of Periodontics & Restorative Dentistry VOL. 27, NO. 6
Maurice Salama, Tomohiro Ishikawa, Henry Salama, Akiyoshi Funato, David Garber
The Root Membrane Technique:
Human Histologic Evidence after Five Years of Function
Hindawi BioMed Research International Volume 2017, Article ID 7269467, 8 page
Miltiadis E. Mitsias, Konstantinos D. SioRoot Membranepas, Gerogios A. Kotsakis, Scott D. Ganz, Carlo Mangano, Giovanna Iezzi
“AnyRidge is perfect for the anterior esthetic zone due to its strong initial stability & fast osseointegration.
Plus, KnifeThread® ensures space maintenance when using the PET/Socket Shield/Root Membrane Technique, showing excellent bone growth.”
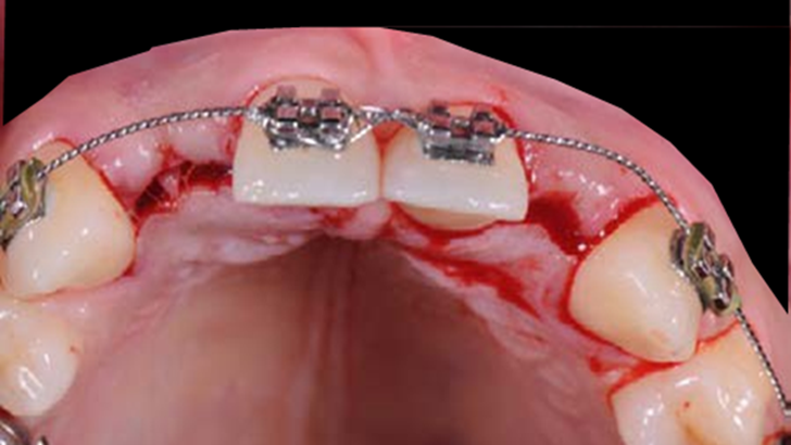
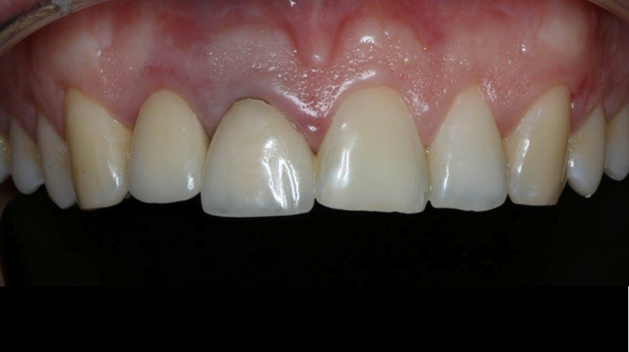
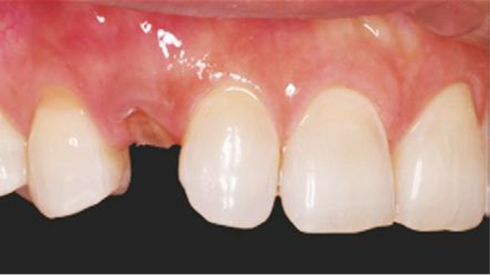
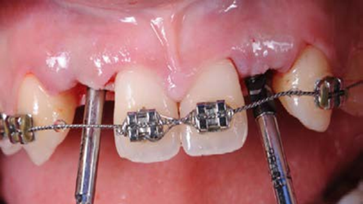
Clinical case: Patient-centered approach: treatment strategy for Root Membrane Technique & delayed implant placement
- Courtesy of Dr. Yoshiharu Hayashi, Japan -
Keywords
Socket Shield Technique, anterior esthetics, maxillary anterior, esthetic, esthetics, delayed implant placement, socket preservation, AnyRidge, Root Membrane Kit, Root Membrane Technique, Partial Extraction Therapy, PET, esthetic zone, fuse abutment, Dr. Yoshiharu Hayashi,#11,#21,#22
Products:
AnyRidge implant system, fuse abutment Root membrane kit, PET Kit
Reference
The socket-shield technique to support the buccofacial tissues at immediate implant placement
INTERNATIONAL DENTISTRY – AFRICAN EDITION VOL. 5, NO. 3
Howard Gluckman, Jonathan Du Toit, Maurice Salama
A Step- by-Step Description of PDL-Mediated Ridge Preservation for Immediate
Implant Rehabilitation in the Esthetic Region
The International Journal of Periodontics & Restorative Dentistry VOL. 35, No.6
Miltiadis E. Mitsias, Konstantions D. Siormpas, Eleni Kontsiotou-Siormpas, Hari Prasad,
David Garber, Georgios A. Kotsakis
Advantages of the Root Submergence Technique for Pontic Site Development in Esthetic Implant Therapy
The International Journal of Periodontics & Restorative Dentistry VOL. 27, NO. 6
Maurice Salama, Tomohiro Ishikawa, Henry Salama, Akiyoshi Funato, David Garber
The Root Membrane Technique:
Human Histologic Evidence after Five Years of Function
Hindawi BioMed Research International Volume 2017, Article ID 7269467, 8 page
Miltiadis E. Mitsias, Konstantinos D. SioRoot Membranepas, Gerogios A. Kotsakis, Scott D. Ganz, Carlo Mangano, Giovanna Iezzi
“Advanced IntermezzoTM – one-piece solution for immediate placement & esthetic result in anterior region or narrow space.”
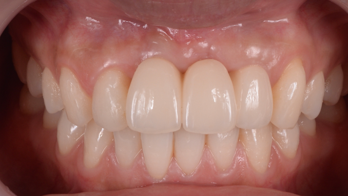
Clinical case: Immediate placement in maxillary anterior narrow space using Advanced Intermezzo
- Courtesy of Dr. Jung Sam Lee, Korea -
Keywords
Advanced Intermezzo. anterior esthetics, esthetic, provisional restoration, esthetic zone, #13, maxillary anterior, Dr. Jung Sam Lee, anterior aesthetics, aesthetic, aesthetics
Products:
Advanced Intermezzo implant system
“MiNiTM – perfect 2-piece solution for
narrow ridge & small anterior teeth providing excellent stability & strong compressive strength.”
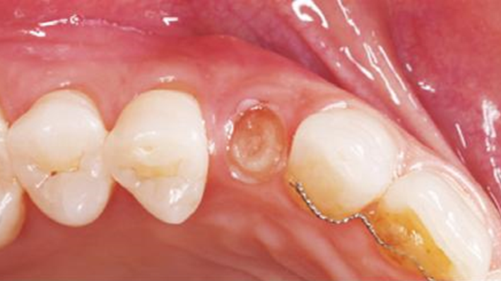
Clinical case: 3.0 mm MiNi implants placement at #12, #22
- Courtesy of Dr. Achraf Souayah, Tunise -
Keywords
Anterior esthetics, MiNi, flap elevation, minimally invasive technique, soft tissue management, esthetic zone, Dr. Achraf Souayah, anterior aesthetics, aesthetic, aesthetics, esthetic, #12, #22
Products:
MiNi implant system
How can primary stability be increased?
Primary stability is especially important in the case of poor quality bone. The instability of dental implants results in fibrous encapsulation and failed osseointegration (Lioubavina-Hack, et al. 2006). One method for increasing primary stability is modifying the surgical technique for implant placement. Studies have reported that the undersized surgical technique, which uses a final drill diameter smaller than the diameter of the implant, results in a higher primary stability when compared with the press-fit technique (Tabassum, et al. 2009, Tabassum, et al. 2010a).
Other studies have reported a higher implant stability with the bone-condensing techniques rather than the bone-drilling technique (Fanuscu, et al. 2007, Markovic, et al. 2011) and conventional techniques rather than the osteotome technique (Cehreli, et al. 2009, Padmanabhan, et al. 2010). The stress distribution of Ti implants with various thread depths has also been investigated using finite element analyses(FEA) to identify the most effective thread depth for stress distribution (Ao, et al. 2010, Chun, et al. 2002, Kong, et al. 2008).
The thread depth also provides a higher contribution than the thread width for stress distribution to the bone (Kong, et al. 2008).
Ti implants with a deeper thread depth provide a higher surface area, which is advantageous for increasing stability in areas of poor quality bone (Abuhussein, et al. 2010). Ti implants with deeper thread depths also facilitate an increased load and mechanical interlocking with poor quality bone.
Another method increasing the primary stability is to change the implant design, such as the shape of the implant body and thread, length, and diameter. Various thread designs for taper implants and other dental implant designs have already been reported to effect the primary stability. Taper implants also show a higher primary stability than cylindrical implants (Kim, et al. 2009, Sakoh, et al. 2006, Wilmes, et al. 2008).
Meanwhile, dental implants with a long length or wide diameter show a significantly increased insertion torque (Kim,et al. 2009, Wilmes, et al. 2008). Plus, dental implants without self-tapping blades have a higher primary stability than implants with self-tapping blades (Kim et al. 2011).
Various fixture thread pattern types
Megagen's KnifeThread®
made totally different ISQ pattern!!
KnifeThread®guarentees
sustauned implant stability
Thanks to MegaGen’s unique KnifeThread® and super self-tapping design, better initial stability can be attained in any compromised bone situation.
The design enables bone condensing, gentle ridge expansion, maximized compressive force resistance, and minimized shear force production.
What is the ideal surface for dental implants?
Since the osseointegration concept was introduced by Branemark in the 1960s, primarily osseointegrated implants have been recommended in the dental treatment area and high implant success rates have been reported. A prerequisite for successful osseointegration is initial stability after implant placement, which depends on the surface characteristics and morphology of the implant and bone density of the surgical site.
Lately, various surface treatment methods have been studied to facilitate rapid and strong osseointegration. According to the surface roughness and topography, the surface chemistry plays an important role for osseointegration. Titanium (Ti) and Ti alloys are bioinert surfaces and are not able to directly bond with bone. One method for increasing surface reactivity is to coat the Ti surface with nanostructured calcium. Many in vitro and in vivo studies have already reported the effectiveness of nanostructured calcium coating.
For example, in vitro studies have reported that surface modification using calcium ions increased the growth of osteoblastic cells and promoted the precipitation of apatite on Ti surfaces in simulated body fluid. Plus, the effects of cell adhesion to calcium-incorporated Ti surfaces were reduced in human alveolar bone cells and MG-63 cells, and increased in human osteoblasts. Several in vivo studies have reported that incorporating calcium into Ti implants by hydrothermal treatment stimulated osseointegration by increasing the BIC % when compared with untreated Ti implants in rabbit models.
Various surface treatments
Surface treatment technology
guarantees an excellent result.
1. Nano bone matrix layer of Ca2+ -incorporated S-L-A surface
2. Fast & strong osseointegration
3. Dual check system for greater safety
Ca2+ is incorporated into the fixture structure to create a CaTiO3 nano-structure. This then forms a unique & uniform nano-structure with Ca2+ions, which activate osteoblasts in living organisms.


















