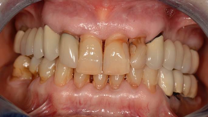
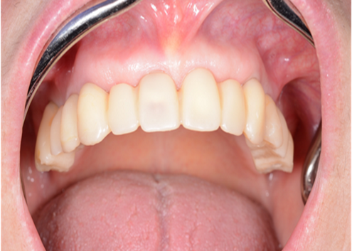
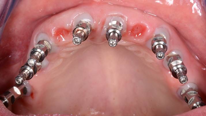
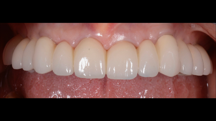
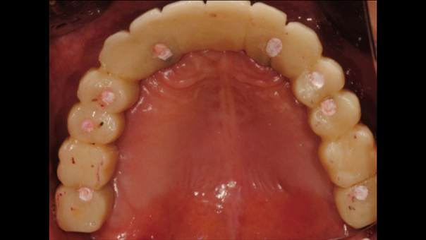
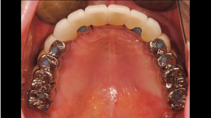
Clinical case: Advantage of fuse abutment with AnyRidge implant for immediate loading in
upper fully edentulous case
- Courtesy of Dr. Kwang Bum Park -
Keywords
AnyRidge, fuse abutment, immediate loading, maxillary fully edentulous case, initial stability, zirconia customized abutments, PMMA temporary bridge, CAD/CAM technique, edentulous, Dr. Kwang Bum Park
Products:
AnyRidge implant system, fuse abutment
“AnyRidge shows excellent esthetic results
with Zirconia prosthesis in full-mouth rehabilitation case . ”
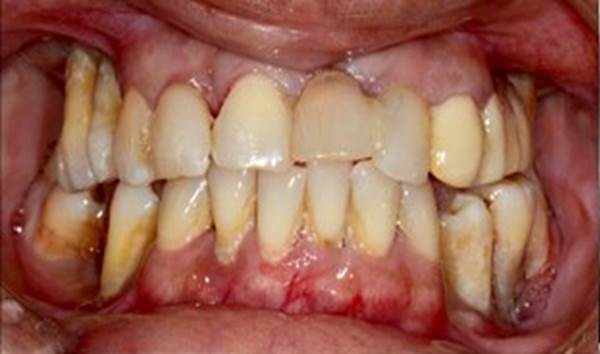
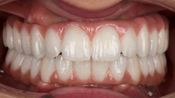
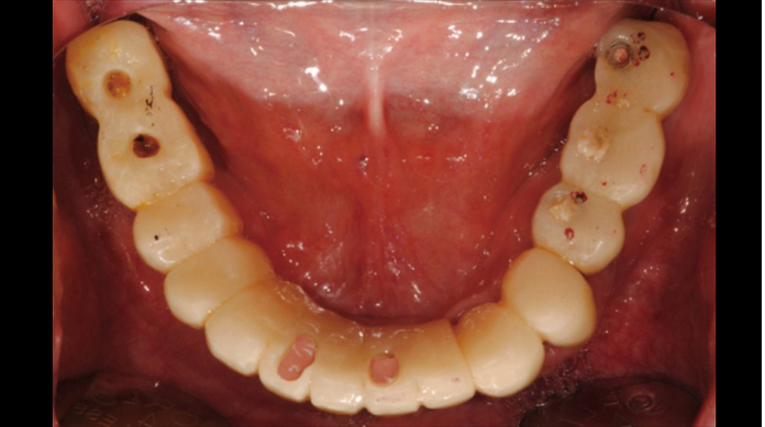
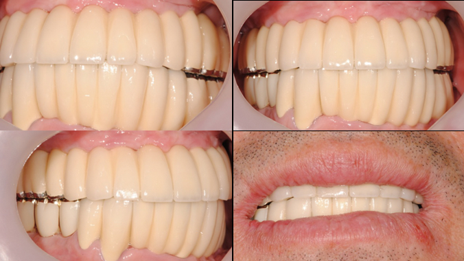
Clinical case: AFull transition from natural teeth to all-on-6 bridges
with AnyRidge implants
- Courtesy of Dr. Rabih Abi Nader, UAE -
Keywords
Full-mouth rehabilitation, minimal layering, Zirconia, all-on-6, life changing result, edentulous ,Dr. Rabih Abi Nader, AnyRidge
Products:
AnyRidge implant system
“AnyRidge shows excellent initial stability
& stable results after immediate loading in
upper fully edentulous case. ”
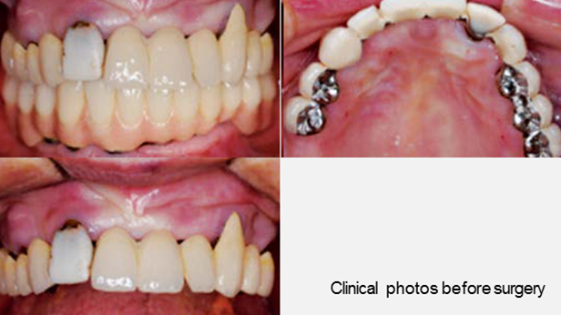
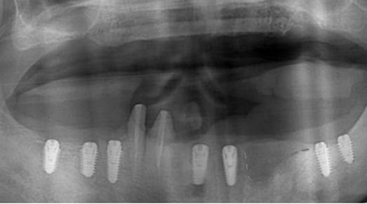
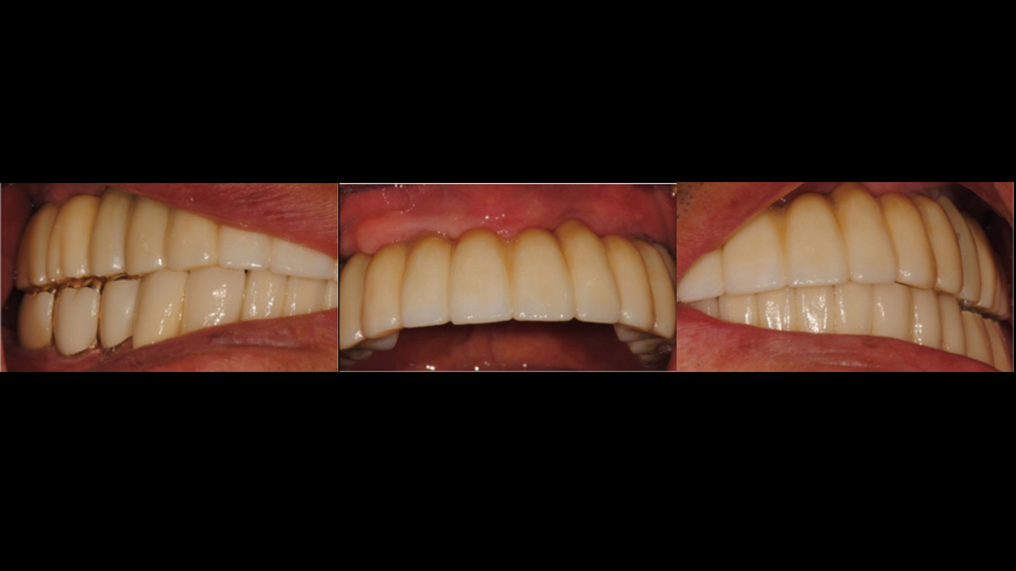
Clinical case: Extraction of all teeth in upper maxilla,
immediate implant placement, & provisionalization
- Courtesy of Dr. Iulian Filipov, Romania -
Keywords
AnyRidge, immediate placement, immediate provisionalization, maxillary fully edentulous case, initial stability, edentulous, Dr. Iulian Filipov, R2GATE, MEGA ISQ
Products:
AnyRidge implant system, Mega ISQ, R2GATE
“AnyRidge ensures long-term biological stability
& functionality even in
full-mouth rehabilitation case. ”
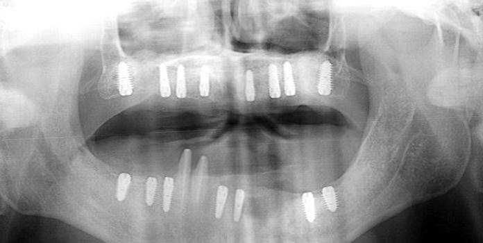
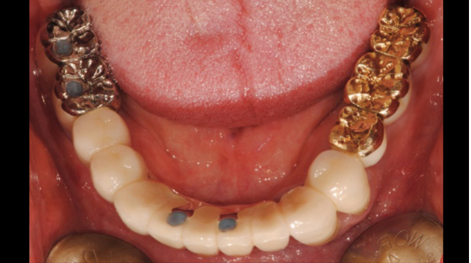
Clinical case: Full-mouth implants for mandibular & maxilla - restored using mixed prostheses
- Courtesy of Dr. Hyun Jun Kim, Korea -
Keywords
AnyRidge, full-mouth implants, mandibular, maxilla, edentulous, full mouth rehabilitation, Octa abutment, long-term clinical case, biological stability, Dr. Hyung Jun Kim
Products:
AnyRidge implant system

How can primary stability be increased?
Primary stability is especially important in the case of poor quality bone. The instability of dental implants results in fibrous encapsulation and failed osseointegration (Lioubavina-Hack, et al. 2006). One method for increasing primary stability is modifying the surgical technique for implant placement. Studies have reported that the undersized surgical technique, which uses a final drill diameter smaller than the diameter of the implant, results in a higher primary stability when compared with the press-fit technique (Tabassum, et al. 2009, Tabassum, et al. 2010a).
Other studies have reported a higher implant stability with the bone-condensing techniques rather than the bone-drilling technique (Fanuscu, et al. 2007, Markovic, et al. 2011) and conventional techniques rather than the osteotome technique (Cehreli, et al. 2009, Padmanabhan, et al. 2010). The stress distribution of Ti implants with various thread depths has also been investigated using finite element analyses(FEA) to identify the most effective thread depth for stress distribution (Ao, et al. 2010, Chun, et al. 2002, Kong, et al. 2008).
The thread depth also provides a higher contribution than the thread width for stress distribution to the bone (Kong, et al. 2008).
Ti implants with a deeper thread depth provide a higher surface area, which is advantageous for increasing stability in areas of poor quality bone (Abuhussein, et al. 2010). Ti implants with deeper thread depths also facilitate an increased load and mechanical interlocking with poor quality bone.
Another method increasing the primary stability is to change the implant design, such as the shape of the implant body and thread, length, and diameter. Various thread designs for taper implants and other dental implant designs have already been reported to effect the primary stability. Taper implants also show a higher primary stability than cylindrical implants (Kim, et al. 2009, Sakoh, et al. 2006, Wilmes, et al. 2008).
Meanwhile, dental implants with a long length or wide diameter show a significantly increased insertion torque (Kim,et al. 2009, Wilmes, et al. 2008). Plus, dental implants without self-tapping blades have a higher primary stability than implants with self-tapping blades (Kim et al. 2011).

Various fixture thread pattern types

Megagen's KnifeThread®
made totally different ISQ pattern!!
KnifeThread®guarentees
sustauned implant stability

Thanks to MegaGen’s unique KnifeThread® and super self-tapping design, better initial stability can be attained in any compromised bone situation.
The design enables bone condensing, gentle ridge expansion, maximized compressive force resistance, and minimized shear force production.
What is the ideal surface for dental implants?
Since the osseointegration concept was introduced by Branemark in the 1960s, primarily osseointegrated implants have been recommended in the dental treatment area and high implant success rates have been reported. A prerequisite for successful osseointegration is initial stability after implant placement, which depends on the surface characteristics and morphology of the implant and bone density of the surgical site.
Lately, various surface treatment methods have been studied to facilitate rapid and strong osseointegration. According to the surface roughness and topography, the surface chemistry plays an important role for osseointegration. Titanium (Ti) and Ti alloys are bioinert surfaces and are not able to directly bond with bone. One method for increasing surface reactivity is to coat the Ti surface with nanostructured calcium. Many in vitro and in vivo studies have already reported the effectiveness of nanostructured calcium coating.
For example, in vitro studies have reported that surface modification using calcium ions increased the growth of osteoblastic cells and promoted the precipitation of apatite on Ti surfaces in simulated body fluid. Plus, the effects of cell adhesion to calcium-incorporated Ti surfaces were reduced in human alveolar bone cells and MG-63 cells, and increased in human osteoblasts. Several in vivo studies have reported that incorporating calcium into Ti implants by hydrothermal treatment stimulated osseointegration by increasing the BIC % when compared with untreated Ti implants in rabbit models.

Various surface treatments
Surface treatment technology
guarantees an excellent result.

1. Nano bone matrix layer of Ca2+ -incorporated S-L-A surface
2. Fast & strong osseointegration
3. Dual check system for greater safety
Ca2+ is incorporated into the fixture structure to create a CaTiO3 nano-structure. This then forms a unique & uniform nano-structure with Ca2+ions, which activate osteoblasts in living organisms.






















































































