No.456 Tonghui Road, Jiangbei Investment & Pioneering(Pack C),Ningbo,China. Tel : +86-0574-27709928
FOR SALES & BUSINESS FOR OTHER COMMENTS.
COPYRIGHT(C)MEGA’GEN IMPLANT CO.,LTD.ALL RIGHTS RESERVED
R2GATE® Planning
Prosthetic-driven implant positioning
Innovative diagnostic software that analyzes the total oral condition to determine the optimal position for implant treatment
Integrating all information required for prosthetic-driven (top-down) implant positioning:
- prosthetic design
- skeletal information
- gingival form
- occlusal relationship
ONE-DAY implants (ONE-DAY smile)
- accurate predictive diagnosis
- reduced chair-time
- minimally invasive surgery
- immediate loading
- excellent clinical results
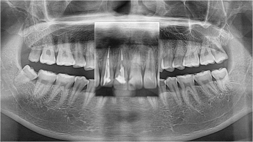
Digital EYE™


Color-coded analysis of bone morphology & density
Although CBCT uses 256 shades of B&W, the human eye can only detect 16 (6%). Therefore, Digital EYE converts the CBCT shades into full color with a standardized brightness, allowing intuitive analysis of the bone condition to position & size the implant, determine the drill sequence, and predict the initial stability for immediate loading.
Windowing for standardized brightness
The brightness levels from different CT equipment are standardized using a special windowing function based on the Hounsfield unit scale.
Innovative guide design for convenient & precise implant surgery
3D printed based on approved treatment plan
One body combining drill guide hole(s), drill stopper(s), & hex control
NO metal sleeves or spoons

Individualized drilling protocols for maximum BIC
Recommended drilling sequences are provided to achieve optimal initial fixation based on bone quality analysis


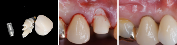
ONE-DAY IMPLANT™
As R2GATE® treatment planning & guided surgery enable pre-fabrication of customized prosthetics. BEFORE surgery, this reduces chair-time, minimizes surgical procedures, and allows for immediate loading.
Watch video

ONE-DAY prosthetic options
Cemented
- Stock/customized TiBase abutment
- 3D-printed or milled PMMA temporary
- Indication: single or 3-unit bridge

Screw-retained
- Stock/customized TiBase abutment
- 3D-printed or milled PMMA temporary
- Indication: muti-unit bridge/ non-hex

Denture-type
- Stock/customized TiBase abutment
- 3D-printed or milled denture
- Indication: edentulous case

R2 Digital Center?
Enjoy R2GATE® services..
Work with qualified digital professionals
in 64 R2 Digital Centers worldwide
Interested to become a R2 Digital Center?
Contact our business team: r2b@R2GATE®.com

R2 Quick Guide™
Do it yourself!

Save time, save costs
- Print implant guide & temporary prosthesis chair-side
- Compatible with Meg-Printer II 3D printing system
Meg-Printer II

- Convenient & cost-effective resin pouch [20g]
- Crown: 15 per pouch
- R2Guide: 1 per pouch

- Disposable bat system
- Lifetime: up to 50 pouches
- Easy to change

- Water-washable
- Maintains resin strength
- Easy to clean
Contact us!

Experienced Expert R2 Online Support Team
Tel
- Korea (HQ) : +82-53-222-3200
- EU zone : +370-6874-9650
Mail
- Orders & Service : service@r2gate.com
- Web registering & Troubleshooting : cs@r2gate.com
- Business opportunities : r2b@r2gate.com
Website
- Main site: www.r2gate.com
- Facebook page: www.facebook.com/r2gate
- YouTube channel: R2GATE



























