HQ / Factory : 45, Secheon-ro 7-gil Dasa-eup Dalseong-gun Daegu TEL : +82-2-6003-2011
MEGA’GEN TOWER: 607 Seolleung-ro, Gangnam-gu, Seoul, Korea TEL : +82-2-6003-2011
FOR SALES & BUSINESS FOR OTHER COMMENTS.
COPYRIGHT(C)MEGA’GEN IMPLANT CO.,LTD.ALL RIGHTS RESERVED
Synergistic effects of
R2 STUDIO™ + R2GATE Digital Oral Design
- New digital standard for treating complex cases using ONE device & ONE software
- Collection & digitization of patient data in ONE step
- Minimized treatment time as no need for face bow, lab-mounting, or manual wax-up
- Provision of highly esthetic & precise prosthetics

R2STUDIO digital work flow
Step01
Data Collection
- CBCT
- Face scan
- Impression scan
Step02
Starting Point
- CBCT reorientation
- Natural head position
- 3D facial matching
Step03
Digital Oral Design
- Facial pattern analysis
- Maxillary anterior teeth position
Step04
Data Transfer
- Digital face bow
- Digital occlusal table
Step05
CAD/CAM
- Full wax-up
- Mock-up printing
- Prep guide
- Implant guide
- ONE-DAY teeth
- Digital prosthesis
Data Collection (10 mins)
CBCT
- Broad 20x20 FOV to create virtual patient
- 6 sec for 20 x 20 CBCT scanning
- Light-guided flexible FOV control
3D Facial Scan
- 3D depth camera (1280x720)
- Independent photo-taking module
- 5sec for full-size facial scanning
- 1800x848 full-size 3D file (OBJ format)
Object (impression) Scan
- Handy scan process
- 20sec for impression scanning
- Auto STL converting process
- Easy to export model file (Open STL format)
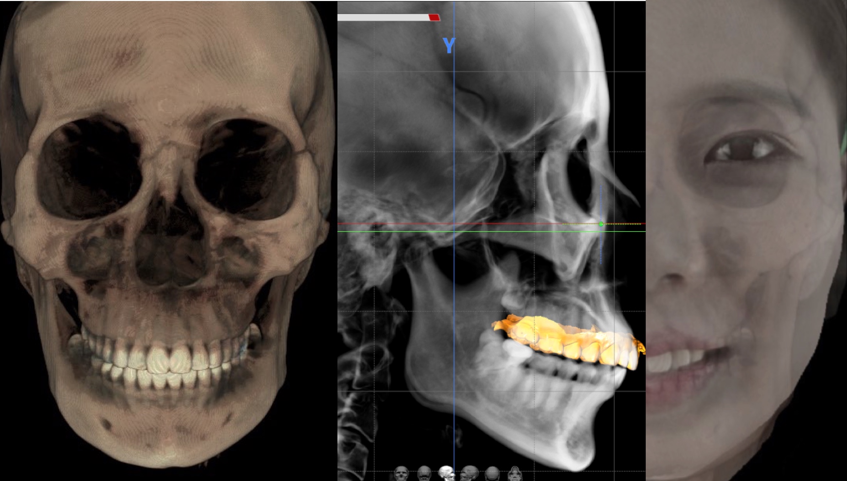
Set Starting Point
- Find mid-sagittal plane as starting point
- Align head position with Frankfort Horizontal (FH) plane or natural head position
- Match 3D facial scan with aligned CBCT to complete digital patient

Applications
- Implant guides & full-mouth reconstructions
- Laminates in esthetic zone
- Mock-up designs & printing
- Crown lengthening & gingivectomy


R2GATE YouTube Channel
Special INSIGHT sessions with Dr. JC Kim, inventor of R2 STUDIO & R2GATE Digital Oral Design - the new paradigm for digital dentistry # world of Megagen / r2insight
Monthly Education Courses in Germany
Meet the inventor of R2STUDIO Dr. JC. Kim Experience R2GATE® Digital Oral Design firsthand
Details & Registration
Email: ingrida.plik@gmail.com
Tel: +370 6774 8158







































