HQ / Factory : 45, Secheon-ro 7-gil Dasa-eup Dalseong-gun Daegu TEL : +82-2-6003-2011
MEGA’GEN TOWER: 607 Seolleung-ro, Gangnam-gu, Seoul, Korea TEL : +82-2-6003-2011
FOR SALES & BUSINESS FOR OTHER COMMENTS.
COPYRIGHT(C)MEGA’GEN IMPLANT CO.,LTD.ALL RIGHTS RESERVED
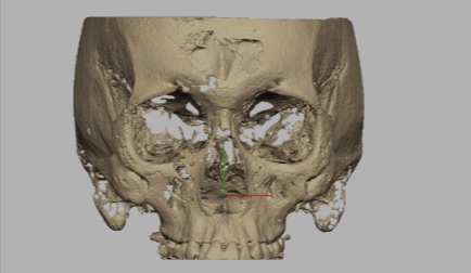
R2STUDIO™ + R2GATE® facial analysis
R2STUDIO: ONE STEP collection & digitization of patient data within 10 min (CBCT + 3D facial scan + STL dentition file)
R2GATE® facial analysis: unique function that defines mid-facial plan, skeletal asymmetries, & esthetic problems

R2STUDIO digital work flow
Step01
Data Collection
- CBCT
- Face scan
- Impression scan
Step02
Starting Point
- CBCT reorientation
- Natural head position
- 3D facial matching
Step03
Facial Analysis
- Facial pattern analysis
- Treatment planning
Step04
Jaw Setup
- Jaw segmentation
- Jaw setup
Step05
User Confirmation
- User confirmation via FACEGIDE viewer
Step06
FACEGIDE Services
- Design-customized saw guides & plates
- Manufacturing (3D printing or milling) of saw guides & plates
Collect all patient’s data less than 10 minutes
Complete CBCT, Smile, impression scan, less than 10 minutes and create the digital virtual patient.

CBCT Reorientation
- Successful surgery requires accurate preoperative diagnosis & precise surgical planning
- CBCT analysis errors caused by slight patient movement can have significant impact on final surgical outcome
- Reorientation function corrects any patient position error during CBCT scan to provide best data for precise diagnosis


Facial Pattern Analysis
Built-in DOD program analyzes patient features & smile patterns as reference material for more complete results to increase patient satisfaction
FACEGIDE™
Customized orthognathic solutions
Jaw segmentation
- Skull data can be freely osteotomized according to technique preferred by oral surgeon
- Osteotomy position, range, & amount can all be adjusted depending on patient characteristics
- Combining osteotomy segments verifies anatomical changes during bone deletion & bone movement for feasible & precise surgical plan

3D Jaw Setup & Review
- Send R2 STUDIO data & simple surgery plan to R2 Center & receive 3D jaw setup file within 24 hours
- Use FACEGIDE review program to confirm 3D jaw setup file

Saw Guides
- Customized for each patient to ensure precise bone incisions & deletions


FACEGIDE Plates
- Customized for each patient
- Reduced surgery time as no need to bend or cut customized plates

TMJ Position Control
- Condylar position can be adjusted after surgery
- Minimizes any side effects due to changes in TMJ position

Facial Reconstruction Surgery
Customized facial reconstruction solutions

Finish 6 jaw surgeries in a day and
enjoy a glass of beer
with us!





























