HQ / Factory : 45, Secheon-ro 7-gil Dasa-eup Dalseong-gun Daegu TEL : +82-1566-2338
MEGAGEN TOWER (International Sales Department) : 609, Nonhyeon-ro, Gangnam-gu, Seoul, Korea TEL : +82-1544-2285
FOR CUSTOMER SERVICES
COPYRIGHT(C)MEGA’GEN IMPLANT CO.,LTD.ALL RIGHTS RESERVED
Meg Aligner

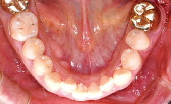
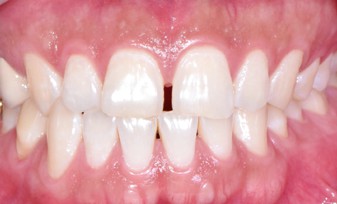
Orthodontics is sometimes needed in implant and prosthetic treatments.
Have misaligned teeth or crowding ever interfered with your implant treatment planning?
C.C. is for implants and prosthetics, but have you encountered patients with malocclusion or crowding?

Do orthodontic clinics sometimes need auxiliary clear aligners?
For adults who find brackets burdensome or have active social lives,
for aesthetic complex corrections, minor relapse cases after orthodontic treatment, or when slight space closing is needed.


Good to Know and Incredibly Useful: “Meg Aligner”
Seamless MegaGen Digital Solutions! A True Asset to Your Practice.



















