HQ / Factory : 45, Secheon-ro 7-gil Dasa-eup Dalseong-gun Daegu TEL : +82-1566-2338
MEGAGEN TOWER (International Sales Department) : 609, Nonhyeon-ro, Gangnam-gu, Seoul, Korea TEL : +82-1544-2285
FOR CUSTOMER SERVICES
COPYRIGHT(C)MEGA’GEN IMPLANT CO.,LTD.ALL RIGHTS RESERVED
Metal-free Prosthetic Solution, AXA Abutment
- Full mouth prosthetics with no extra components
- Advanced Prosthetics Solution makes the impression easier by reducing the chair time
- Choose the best fit from the diverse prosthetic options
- Support various restorative techniques, including Multi case and Cementation
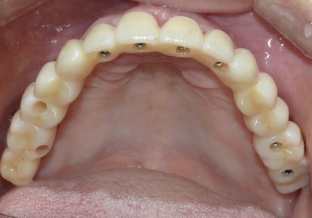
AXA Abutment realizes simple cementless operation in any multiple cases



Diverse prosthetic options are available
Cementless prosthesis is possible in any fixture position, including edentulous, semi-dense, and multi!






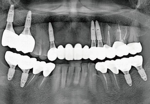
Clinical Case
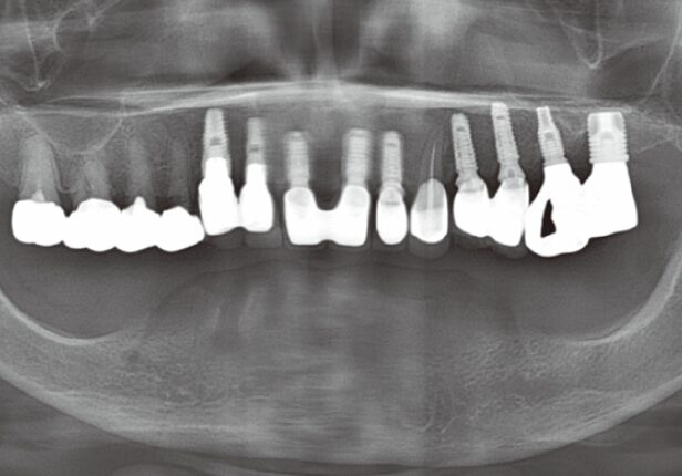
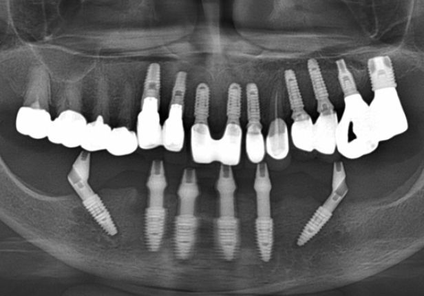
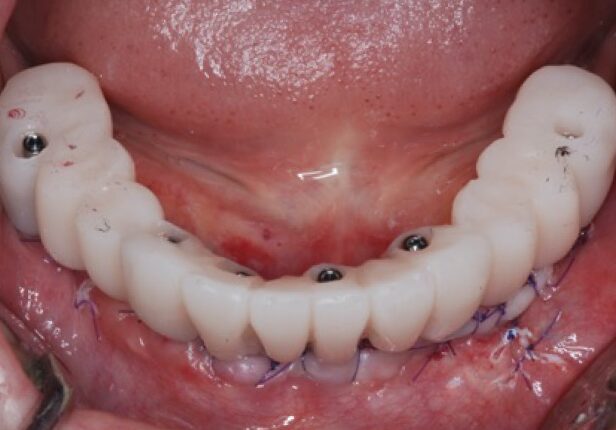
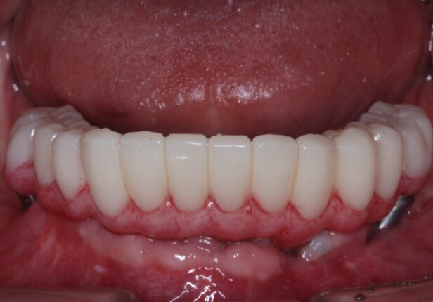
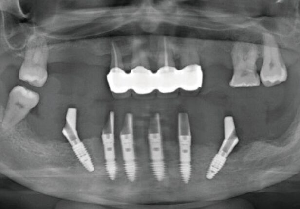
Mandibular Full case

Before surgery

Pre-surgery panorama

Implant placement

AXA positioning

Post-surgery panorama

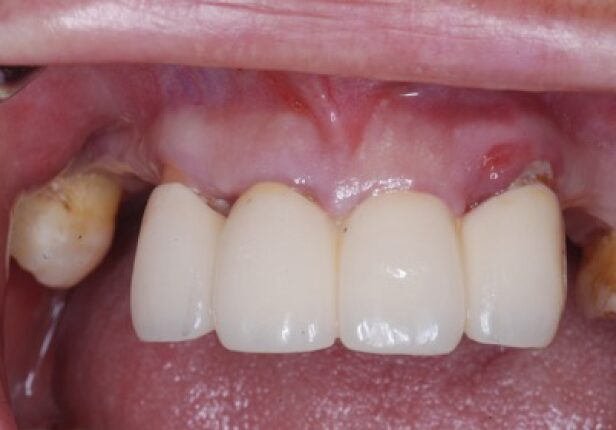
Temporary Crown right after the placement (1st:: Shell)

Temporary Crown after 1 month (2nd)

Temporary Crown after 10 months
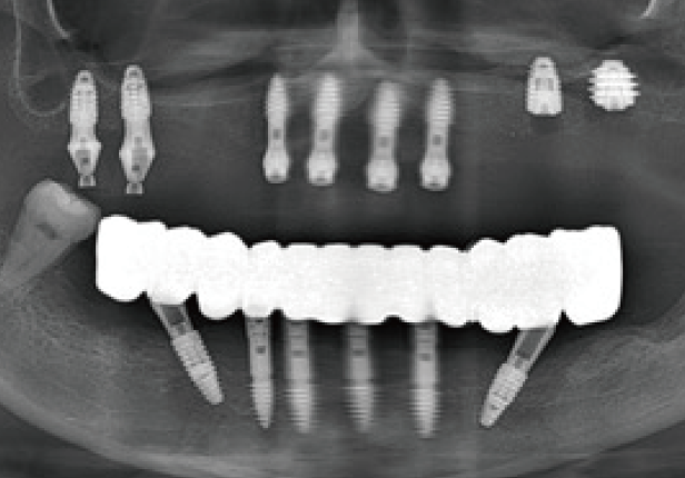
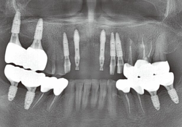
Maxilla Full Case Full case

Pre-surgery panorama

Before surgery

Implant placement

Post-surgery panorama

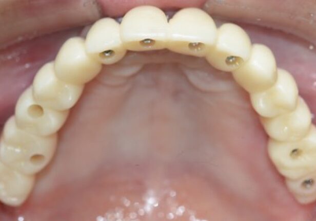
Temporary Crown

Before Final Crown placement

Final Crown

Final Crown Panorama
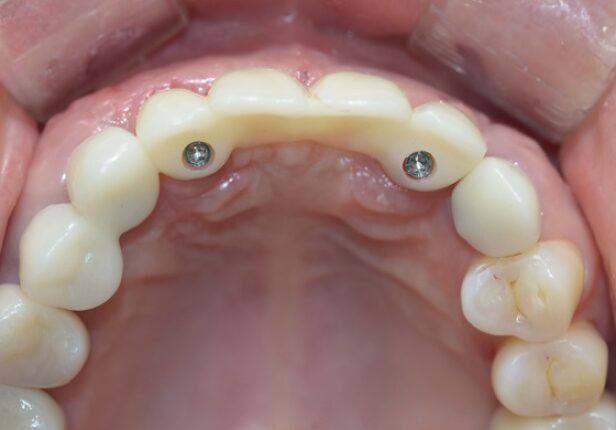
ARi Bridge case

Pre-surgery panorama

Before surgery

Implant placement

AXA positioning

Scan

Contouring

Post-surgery panorama

Temporary Crown after 1 month




























